Как омолодить лицо в 40?
Если к этому времени вы уже давно дружите с косметологом и следуете его советам, то продолжаете периодически приходить и планомерно работать над сохранением своей внешности.
Но вдруг вы осознаёте, что лицо могло бы выглядеть лучше. Сухая тусклая кожа с морщинками и «синяками» возле глаз, прорезавшимися носогубными складками, наметившийся второй подбородок и неровный овал лица не прибавляют оптимизма. Становится сложно строить профессиональную карьеру, если работа подразумевает тесное общение с людьми.
Не стоит переживать. Это самое благоприятное время для решительной атаки на возраст. И один из методов, который быстро поможет — классический нитевой лифтинг (его же можно назвать подтяжка нижней трети лица). Он вернёт чёткость линий контурам, добавит коже сияния и упругости – главных признаков молодости. Косметолог может рекомендовать также пилинги, мезотерапию, применение аппаратной косметологии. В некоторых случаях врачи и пациенты решаются на такой шаг, как частичная пластика лица.
Какие расходники используются
Мезонити изготавливаются из гипоаллергенного шовного капролактона, который полностью совместим с человеческим организмом. Они представлены в широкой линейке вариаций. Могут различаться по длине, модификации, составляющим компонентам, эффективности на том или ином участке тела. Подбираются индивидуально для каждого клиента косметологического центра.
Многие из них имеют зазубрины и насечки, благодаря которым надежно крепятся к тканям, что обеспечивает мгновенный результат. Дополнительно они активируют естественную выработку коллагена, за счет чего эффект сохраняется даже после их удаления или рассасывания
Обратите внимание, что качество расходников играет важную роль в безопасности и эффективности процедуры
Косметолог может использовать как саморассасывающиеся нити, так и те, которые не обладают такой особенностью. Рассмотрим каждый тип подробнее.
Рассасывающиеся
Они самостоятельно распадаются в тканях. Обычно на это уходит от полугода до 3 лет. Все зависит от состава мезонитей. В современной косметологии обычно применяются:
- Полидиоксанон. Это безопасный материал для швов, для которого характерен полный распад на воду и СО2. То есть на молекулы, которые присутствуют в нашем организме на уровне физиологии. В ходе научных исследований было доказано, что он не способен навредить человеку, в том числе и при вживлении. Он растворится через 6-10 месяцев. После этого не остается никаких следов и фиброза. Это нити – проверенные временем, которые применяются в медицинской практике более двух десятков лет.
- Поликапролактон. Полимер с высокой степенью безопасности. Разлагается на глюкозу, воду, углекислый газ. Скорость деградирования – 2-3 года. Его молекулы стимулируют активный синтез коллагеновых волокон. Отличаются высоким показателем биосовместимости, поэтому риск аллергической реакции, отторжения или побочных эффектов отсутствует. Материал используется в течение многих лет в тканевой инженерии.
- Полимолочная кислота. Обладает отличной совместимостью с человеческим организмом. На распад в среднем уходит 3 месяца. Обычно используются при проведении процедуры на ранних стадиях появления признаков старения.
Нити подбираются специалистом в зависимости от индивидуальных особенностей пациента.

Нерассасывающиеся
Их внедрение уже считается хирургической, а не косметологической манипуляцией. Еще несколько лет назад большой популярностью пользовались золотые и платиновые расходники. Однако сейчас они являются устаревшими. Большинство клиник перешли на полипропилен, так как материал, изготовленный из него, получается более тонким и прочным.
Показания к применению
Фракционный лифтинг микроиглами успешно справляется с разными задачами, среди которых:
- подтяжка кожи на лице, животе (после беременности и похудения), поверхностей ноги и рук, кистей, под коленями, на ягодицах, устранение морщинок на шее и под глазами;
- лечение постакне, ожогов, обморожений;
- избавляет от второго подбородка;
- устранение обвисаний, брылей, растяжек;
- борьба с гравитационным птозом, восстановление четкого контура лица;
- сужает поры, нормализует работу сальных желез;
- выравнивает цвет лица, делает его лучше;
- делает дряблую уставшую кожу эластичной и упругой;
- убирает стрии, заломы, борозды, травматические рубцы, другие неровности на коже.
Как видите, rf-лифтинг малоинвазивным способом выполняет задачи, которые раньше были по силам только пластической операции. Он также превосходит фракционный лазер, так как может работать и с загорелой кожей.
Причины отказа
Список противопоказаний, по которым нельзя проводить процедуру микроигольчатого радио-лифтинга, обычен для всех аппаратных методик:
- беременность и лактация;
- тяжелые хронические заболевания;
- кардиостимулятор или другое электронное устройство;
- онкология;
- нарушение работы кровеносной системы;
- имплантаты из металла в зоне воздействия;
- склонность к образованию келоидных рубцов, трудности с заживлением ран;
- наличие филлеров или нитей, а также коллагена и биоматериалов в месте процедуры;
- перманентный макияж и татуировки там же.
Народные методы в помощь
- Мучная маска с белком. Возьмите одно яйцо и отделите белок. Взбейте его, смешайте с пшеничной мукой. Кашицу наложите на область шеи и лица на 15-20 мин.
- Творожная маска. Смешайте 200 г творога, 1/2 ч. л. салициловой кислоты, 2 ч. л. буры (такое название получил кристаллический порошок, который можно купить в аптеке). Смешанные компоненты должны постоять около 8 часов. После этого наносите их на лицо, шею. Где-то после трети часа маску можно смывать.
- Лифтинговый крем домашнего производства. Соедините немного детского крема с 5 мл масла шиповника, хорошо перемешайте. Сюда добавьте 1 ч. л. сока алоэ, а после этого около 15 капель витамина В12 и масла жожоба. Нанесение осуществляется на чистую кожу. Срок хранения не больше 7 суток, крем лучше оставлять в холодильнике.
Какие процедуры совсем бесполезны и не смогут подтянуть лицо?
Рекламные обещания различных клиник и косметологов часто не соответствуют эффекту от процедуры. Кратко разберём те методы, которые не смогут повлиять на перераспределение тканей и объёмов лица.
Плазмолифтинг. Это запатентованное название процедуры введения в кожу собственной плазмы. Процедура хороша для стимуляции и восстановления кожи после агрессивных воздействий, однако никакого лифтинга или подтяжки лица она не даёт.
Биоревитализация, мезотерапия. Процедуры увлажнения и лечения кожи, прекрасноомолаживают кожу, но никак не влияют на овал лица в целом.
IPL – лифтинг или фотоомоложение обычно применяется для устранения на коже пигментации, сосудистой сетки, в качестве «бонуса» достигается лёгкий лифтинг эффект, уходят мелкие морщинки, кожа становиться менее дряблой. В возрасте после 35-40 лет такая процедура позволяет эффективно бороться с некоторыми возрастными изменениями, однако брыли и складки кожи, второй подбородок фотоомоложение убрать не сможет.
RF-лифтинг также не сильно поможет подтянуть лицо. Основа этого метода – воздействие на кожные белки (коллаген и эластин) радио-волнами определенного диапазона. Под действием излучения белки нагреваются и как бы «сжимаются», обеспечивая уплотнение кожи.Это широко разрекламированная процедура, однако нужно понимать, что ярко выраженного результата ждать не стоит, так как воздействие оказывается только на верхние слои кожи.
Выбрав процедуру контурной пластики нижней трети лица для борьбы с восстановлением овала лица, пациент заодно решает другие сопутствующие проблемы — сглаживаются опущенные уголки возле рта (морщины грусти), подчеркивается угол нижней челюсти.
Всего лишь одно посещение клиники позволяет визуально омолодить лицо минимум на десять лет.
Кому противопоказана методика
У любой эффективной процедуры есть противопоказания. Есть они и у радиочастотного лифтинга кожи.
- Беременность и лактация;
- Аутоиммунные заболевания;
- Наличие злокачественных опухолей, прохождение химиотерапии (в период ремиссии процедуру можно проводить только после консультации с онкологом);
- Наличие кардиостимулятора;
- Некоторые эндокринные патологии;
- Герпес;
- Любые острые заболевания или обострения хронических патологий;
- Воспаления, высыпания, нарушения целостности кожи в зоне обработки;
- Золотые нити.
Не все противопоказания абсолютные, во многих случаях возможно проведение процедуры после стабилизации состояния пациента, устранения тех или иных симптомов.
Morpheus8: инструмент комплексного преобразования мягких тканей
Для комплексного преобразования мягких тканей компания InMode разработала фракционный радиочастотный аппликатор Morpheus8. В случае комбинированного применения с нитевым лифтингом наиболее востребован именно эффект воздействия радиочастотной энергии на ФСС жировой ткани.
Аппликатор Morpheus8 оснащен линейкой насадок, предназначенных для обработки мягких тканей на разной глубине (от 600 мкм до 7 мм). Независимо от типа насадки каждый игольчатый электрод имеет золотое покрытие, за исключением дистальных 500 мкм (золото не проводит радиочастотный ток и не плавится при высоких аблятивных температурах 80–85°C), – так обеспечивается защита дермо-эпидермального соединения от термического повреждения.
Игольчатые электроды вводятся в мягкие ткани посредством возвратно-поступательного механизма. Проникновение игольчатого электрода через дерму в жировую ткань представляет собой механическое нетермическое фракционное повреждение дермы, которое приводит к ремоделированию и улучшению состояния дермы. После введения на целевую глубину осуществляется подача радиочастотного тока с формированием нескольких зон термического повреждения:
- зоны абляции;
- зоны обратимой коагуляции (обе зоны обусловливают сокращение ФСС);
- зоны некоагуляционного, неаблятивного нагрева ткани (рис. 11).

Зона абляции образуется при нагреве >100°C, а зона обратимой коагуляции – при нагреве до 60‒85°C.
В протоколе подготовки к нитевым методам мишенью воздействия является подкожно-жировая клетчатка.
Через изолированные электроды подается запатентованный импульс RF-энергии, который коагулирует (сокращает) субдермальную жировую ткань и, что важно, укорачивает горизонтальные, косые, вертикальные соединительнотканные волокна ФСС. Сокращение ФСС обеспечивает значительное уплотнение мягких тканей и устранение вышележащих морщин, рубцов, неровного рельефа кожи, пор, даже растяжек и рубцов постакне (рис. 12)
12).

Затем RF-энергия направляется вверх вдоль микроигл с силиконовым покрытием и вдоль ФСС к отрицательно заряженным ромбовидным электродам на поверхности кожи, которые окружают игольчатые электроды. Это обеспечивает неаблятивный, ненекротический нагрев папиллярной и ретикулярной дермы и кожи, стимулирующий выработку нового коллагена, эластина и основного вещества соединительной ткани. Происходит дополнительное уплотнение мягких тканей11. Перегородки ФСС становятся плотнее и способны выдержать механическую нагрузку в виде имплантированной нити.
Какой категории пациентов мы рекомендуем нитевой лифтинг.
Нитевой лифтинг мы рекомендуем «продвинутым» пользователям косметологических процедур, тем кто не падает в обморок (к нашему удивлению, существуют и такие пациенты) при слове «Нити» и готов к реабилитационному периоду. Тем, кто не хочет ложиться на операционный стол, или понимает, что количество подтяжек ограниченно, поэтому не торопится делать первую.
Нити Happy lift (Хэппи Лифт) — идеальное средство сохранения молодости для тех, кто избегает или откладывает серьезные оперативные вмешательства.
Процедура занимает промежуточное положение между косметологией и пластической хирургией. Позволяет добиваться выраженных результатов коррекции, не требуется никакой длительной подготовки, и сама процедура займет не больше часа. Эффект от процедуры виден сразу, усиливается в течение 3 месяцев и сохраняется от 1 до 3 лет.
Happy lift используются для:
- подтяжки овала лица;
- для устранения носогубных складок;
- для выравнивания контура нижней челюсти;
- для подтяжки бровей;
- для устранения складок на шее;
- против раннего фотостарения кожи;
- для придания выразительности и рельефа “плоскому” лицу;
- для коррекции асимметрий — одностороннего птоза бровей и лица;
- в медицине — для эстетической коррекции пареза лицевого нерва и т.д.;
- уплотнения кожи различных участков тела.
Из чего состоят и в чем преимущество нитей Happy Lift?
- Самый эффективный вид безоперационного лифтинга.
- Позволяет не просто подтянуть, а по-настоящему моделировать 3D объемы лица.
- Нити Happy Lift — это итальянские нити. Они имеют знак безопасности CE. Это значит, что производитель гарантирует качество продукта и высокие стандарты производства, включая стерилизацию и упаковку. Разрешены для применения на территории РФ
- Благодаря запатентованной технологии нанесения насечек- каждая насечка наноситься на нить отдельно, благодаря чему нить обладает высокой прочностью и отлично фиксируется в тканях, обеспечивая выраженное перемещение тканей и длительный по времени результат коррекции
- Состоят из капролактона, окутанного сверху полимолочной кислотой. Капролактон используются в медицине уже более 50 лет в качестве шовного материала. Он инертен и безопасен.
- Полимолочная кислота в составе нитей интенсивно увлажняет кожу, и значительно улучшает ее качество после установки нитей кожа подтягивается, уплотняется, разглаживается и приобретает сияющий вид.
- Не требует наркоза. Для проведения процедуры используется местная анестезия.
- Биодеградируемость. Через 12-18 месяцев после установки нити полностью рассасываются, и в тканях не остается инородного вещества.
- Мягкая фиброзная капсула, которая за это время формируется на месте нити, еще 2 года поддерживает ткани лица в молодом положении.
Введенные в кожу, эти нити замедляют ход времени на 3-5 лет особенно – в сочетании с другими косметологическими методиками, такими как – мезотерапия, биоревитализация и др.
Инъекционный лифтинг для омоложения
Биоармирование
Процедура заключается во введении под кожу микродозы гиалуроновой кислоты в густой консистенции. В результате вещество равномерно заполняет пространство между волокнами тканей и создает своеобразный «каркас», который уплотняет контуры лица и делает их визуально более четкими и подтянутыми.
Биоревитализация
Процедура похожа на биоармирование с той лишь разницей, что при биоревитализации под кожу вводят гиалуроновую кислоту менее густой консистенции. Вещество заполняет пространство, где образовались морщины, и выталкивает их наружу. Результат – гладкая и нежная кожа лица.
Мезотерапия
Мезотерапия – введение под кожу и ее слои биоактивных веществ, своеобразных коктейлей из витаминов и гиалуронки. Процедура показана для избавления от первых признаков старения. Видимый эффект достигается за 3-4 раза.
Плазмолифтинг (PRP-метод)
Особенность этого метода в том, что под кожу вместе с гиалуронкой и полезными веществами вводят плазменную составляющую крови клиента. Это помогает перезапустить естественные процессы регенерации и омоложения в организме.
Результат виден сразу. Процедуру рекомендовано делать при первых признаках возрастных изменений – клиентам 25+.
Объемное моделирование (soft-lift)
Разновидность контурной пластики. Врач вводит под кожу клиента филлеры и гиалуроновую кислоту, но, в отличие от других омолаживающих инъекционных процедур, делает это на большей глубине. Результат – исправление асимметрии лица и коррекция формы скул и подбородка. Эффект сопоставим с тем, что можно увидеть после пластической операции. Разница лишь в том, что результаты от пластической операции держатся 10 лет, а от объемного моделирования – всего год.
Как проводится процедура
Профессиональное лечение проводится в косметологической клинике с помощью высокопроизводительного аппарата, работающего в нескольких частотных диапазонах и с разной интенсивностью. Существуют также устройства для домашнего использования, однако они менее мощные и не такие эффективные.
Перед процедурой врач-косметолог выясняет наличие противопоказаний, просит снять все металлические предметы. Радиочастотный лифтинг лица начинается с тщательного очищения кожного покрова и последующего нанесения анестезирующего крема или специальной сыворотки. После выбора подходящего режима работы аппарата косметолог мягко водит по проблемным участкам манипулой. Радиоволны оказывают воздействие на сальные железы в верхних слоях дермы и направляются в нижние слои, где приводят в движение молекулы воды. Возникает трение, кинетическая энергия преобразуется в тепловую, обрабатываемая ткань нагревается до температуры выше 40 градусов. Соседние участки не затрагиваются. Под воздействием тепла активизируются клетки фибробласты, синтезирующие эластин и коллаген, необходимые для поддержания упругости, прочности, эластичности кожи.
Врач общается с пациентом в течение всего сеанса, который длится от 15 минут до 1 часа, спрашивает об ощущениях. В завершение наносится успокаивающий крем. Для получения долгосрочного результата рекомендуется провести 6-10 сеансов. При сложных эстетических дефектах продолжительность лечения увеличивается.

Клинический случай
Пациентка с ИМТ 34,5 (вес 94 кг), деформационно-отечный морфотип старения:
- гипертрофия и дислокация поверхностных жировых пакетов, визуализация малярных жировых пакетов;
- избыток кожи верхнего и нижнего века;
- морщины покоя в области глабеллы, лба и вокруг глаз (рис. 13).






Протокол комбинированной терапии приведен в табл. 4.
| 1-й этап: радиочастотная микроигольчатая терапия Morpheus8 | |
| Носогубные складки | 3 мм, Single 41 Дж/см2 2 прохода + 3 мм, Fixed 45 Дж/см2 1 проход |
Область скул | 3 мм, Fixed 38 Дж/см2 3 прохода |
Субментальная область | 4 мм Fixed 45 Дж/см2 4 прохода |
Периорбитальная область | 2 мм Single 38 Дж/см2 |
Область лба и глабеллы | 2 мм Single 35 Дж/см2 |
| 2-й этап (через 1 мес.): имплантация C-образных и Т-образных биодеградируемых нитей (PLLA) |
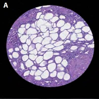
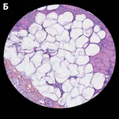
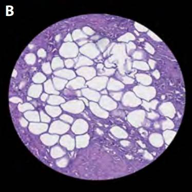
Через 1 нед. и 1 мес. после процедуры Morpheus8 у пациентки были взяты образцы тканей субментальной зоны. Наблюдались следующие структурные изменения состояния жировой ткани и соединительнотканных перемычек:
- через 1 нед. – признаки лизиса адипоцитов;
- через 1 мес. – признаки распада адипоцитов, уменьшение среднего размера адипоцитов на 37,6%, уплотнение и реструктуризация коллагеновых волокон (плотность возросла на 42,4%), более 62% волокон имеют строгую ориентацию по сравнению с исходным состоянием (34%) (рис. 14).




По завершении комбинированной терапии наблюдалось улучшение качественных характеристик кожи: уплотнение, выравнивание рельефа, сужение пор, подтяжка верхнего века и субментальной области (см. рис. 13).
Для деформационно-отечного морфотипа старения характерен избыток подкожно-жировой клетчатки, поэтому изолированное применение нитевого лифтинга не принесет должного эффекта. В этом случае Morpheus8 может стать основой, которую при необходимости дополняют другими процедурами.
При комбинации с нитевым лифтингом радиочастотную микроигольчатую терапию необходимо провести за 1–4 мес. для достижения максимального синергичного эффекта.
Главные RF-процедуры
SMAS-лифтинг Альтера (Ultherapy)
Рекомендована для общей подтяжки лица.
Альтера-терапия (Ultherapy), проводимая на американском аппарате Альтера Систем (Ulthera System), – единственная в мире процедура с технологией микро-сфокусированного ультразвука для лифтинга кожи, работающая на уровне SMAS (мышечно-апоневротической системы), не повреждая при этом поверхность кожи. Именно на уровне SMAS работают пластические хирурги, когда делают хирургическую подтяжку кожи.
Глубокий SMAS-лифтинг аппаратом Альтера Систем включает в себя подтяжку кожи, подкожно-жировой клетчатки, мимических мышц, коллагеновых и эластиновых волокон. Такая подтяжка дает выраженный и долгосрочный эффект омоложения.

Подтяжка тканей происходит на глубине 4-4,5 мм. Это как раз уровень SMAS – поверхностной мышечно-апоневротической системы. Она располагается под кожей и связана с ней в единый каркас. Когда мышцы сокращаются, они тянут за собой и кожу. В результате с годами появляются провисания и глубокие заломы.
Ультразвук нагревает подкожные слои. Когда температура там повышается, происходит уплотнение коллагеновых волокон и соединительной ткани жировых прослоек. Кожа начинает подтягиваться. А для того, чтобы эффект получился естественным и долгим, в коже начинается внутренний процесс обновления.
Альтера – однократная процедура без сезонных ограничений и без периода реабилитации. После проведения процедуры процесс обновления кожи продолжается на протяжении 2-3 месяцев, после чего внешность пациента кардинально преображается! Эффект от процедуры длится до 5 лет!
С помощью Альтера-терапии можно достичь лифтинга и уплотнения кожи лица, шеи и декольте, а также скорректировать морщины. Эффективность и высокая степень безопасности Альтера-терапии научно доказаны.
Ультралипосоник
Рекомендована для избавления от второго подбородка, подтяжки шеи.
Это новейшая разработка, соединившая безоперационную липосакцию с RF-лифтингом. С помощью ультразвука подкожный жир разрушается, а затем выводится естественным путем через лимфатическую систему. RF-насадка значительно ускоряет этот процесс, улучшая лимфоток и циркуляцию крови и хорошо прогревая ткани.
Липосакция на аппарате Ультралипосоник не требует разрезов, поэтому не оставляет никаких следов на коже. Для достижения эффекта потребуется 3-5 процедур.

Для того, чтобы ускорить вывод продуктов распада жировых клеток, доктора «А Клиники» рекомендуют микротоковую терапию. Например, при помощи французского аппарата и лечебной косметики Биожени (Biogenie) .
Микротоки Биожени уникальны тем, что обеспечивают клеточный детокс, восстанавливают мембранный потенциал клетки, стимулируют активность фибробластов, повышают иммунитет. Это способствует восстановлению тонуса, микроциркуляции и увлажнению тканей. Токи действуют мягко и безболезненно, что позволяет прорабатывать чувствительные зоны (шея – одна из них). Благодаря специально разрабатываемой лабораторией Биожени косметике и особой форме электродов, процедура превращается в настоящее удовольствие. В косметике используется большой процент натуральных ингредиентов и редких растительных экстрактов (экстракт голубого лотоса, орхидеи, эдельвейса, азиатской центелы, дикой розы, алоэ вера, календулы), а также эластин морского происхождения, гиалуроновая кислота, полученная путем биоферментации и коллаген растительного происхождения.
Первый этап включает в себя традиционные французские эстетические лимфодренажные техники массажа руками и манипулами аппарата, которые улучшают циркуляцию лимфы и обеспечивают детоксикацию. Устранение токсинов позволяет клеткам кожи лучше насыщаться кислородом и легче восстанавливаться. После того, как уходят токсины и лишняя жидкость, кожа сразу же приобретает здоровый вид и ровный тон.
Второй этап – это питание и укрепление кожи с помощью профессиональной косметики Биожени. Сразу же появляется ощутимый лифтинговый эффект, уменьшаются дряблость и морщины.
Существуют разные программы омоложения Биожени, которые длятся от 15 до 35 минут. Рекомендуемый курс – 4-5 сеансов.
Побочные эффекты и рекомендации после сеанса
Сразу после манипуляции сосуды расширяются и максимально наполняются кровью. Обработанный участок может покраснеть, нередко появляется локальное чувство жара и даже незначительное повышение температуры. Эти явления способны проходить самостоятельно и не требуют принятия мер, по крайней мере, на протяжении 1-2 дней. Иногда возникает отек.
Если требуется обработка внушительных участков тела, термолифтинг иногда совмещается с лимфодренажем для достижения более быстрого и качественного результата.
По всем этим причинам, если выбран рассматриваемый способ омоложения, стоит в обязательном порядке следить за временными промежутками между сеансами. Рекомендуется грамотно выбирать клинику и, конечно же, учитывать квалификационный уровень и опыт медика.
В течение первых 24-х часов после сеанса не рекомендуется:
- ходить в баню,
- заниматься в зале,
- посещать солярий.
Особенности микроигольчатого RF-лифтинга
Косметология быстро развивается. Даже эффективные процедуры постоянно пытаются усовершенствовать. RF лифтинг имеет существенный недостаток: манипула (это деталь, которая передаёт импульс от аппарата к коже) обладает слишком большой рабочей поверхностью.
С одной стороны, это позволяет обработать все части тела быстро, но с другой, эффективность крупной манипулы существенно снижается. Свет распределяется не только по участку, требующему корректировки, но и по здоровой зоне. В то время как энергия аппарата должна быть направлена исключительно на проблемные зоны. Таким образом, чтобы получить желаемый эффект, приходится проводить процедуру повторно.
Микроигольчатый RF лифтинг направлен на лечение конкретных зон. Он воздействует на кожу точечно и направляет энергию только на зоны, которые нуждаются в корректировке. Это возможно благодаря специальным микроиглам, защищённым материалом из силикона. Они проникают в глубокие слои дермы и активно воздействуют на кожу изнутри.

Микроигольчатая терапия заменяет целый комплекс уходовых процедур. Она оказывает положительное влияние на процессы, происходящие в организме. В частности, увеличивает выработку коллагена и эластина.
Для каких зон тела подходит микроигольчатый RF-лифтинг
Основная область применения микроигольчатого RF-лифтинга – коррекция эстетических недостатков в разных зонах лица, включая веки и область вокруг глаз. Также этот аппаратный метод омоложения подходит для улучшения внешнего вида разных участков тела, среди которых:
- Шея.
- Область декольте.
- Кисти рук.
- Волосистая часть головы.
- Внешняя и внутренняя поверхность бедер.
- Живот.
- Ягодицы.
- Колени.
- Плечи и локти.
- Подмышечные впадины (лечение гипергидроза).
Краткие выводы
Тредлифтинг (нитевой лифтинг) показан при появлении морщин, выраженных носогубных складок, «поплывшего» овала лица, нависших веках, при наличии второго подбородка и опущении уголков рта.
Нитевая подтяжка незаменима для устранения дряблости кожи на ногах и руках, а также для борьбы с целлюлитом.
Тонкие мезонити формируют подкожный коллагеновый каркас, поддерживающий ткани даже после рассасывания самих нитей.
Рассасывающиеся нити изготавливаются из полидиксанона (PDO), поликапролактона (PCL), полимолочной кислоты (PLA). Нерассасывающиеся – из золота, платины или полипропилена.
Преимущества нитевого лифтинга заключается в естественности результата, щадящем воздействии и возможности подтяжки деликатных зон.
Последствия процедуры проходят через несколько дней. Эффект нарастает на протяжении 3 месяцев.
Недостатки заключаются в гиперчувствительности, возможности появления отеков и синяков.














![Rf-лифтинг лица [что это такое]: показания к процедуре, виды, особенности проведения](https://kosmetikam.com/wp-content/uploads/6/a/7/6a73de40088e1d3b24ed53bc1890a1fc.jpeg)
















