После лечения у стоматолога болит зуб, онемение губы, щеки, боль в лице и челюсти, после лечения пульпита болит зуб
Невралгия тройничного нерва периферического типа и луночковая плексалгия. Это повреждение или раздражение тройничного нерва и его ветвей – луночковых сплетений. Характерные симптомы: боль, часто жжение в челюсти и губе, боль с жгучим компонентом, возможно онемение губы, щеки, неприятные ощущения при касании. Эти симптомы могут усиливаться при накусывании. Боли могут быть монотонными, изматывающими, приводить к нервному истощению, депрессии. Чаще мы встречаем 3 варианта проблемы.
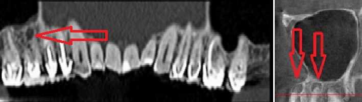
Вариант 1. Давление пломбировочным материалом на ветви тройничного нерва, луночковые нервные сплетения. После удаления нерва и пломбировки каналов болит зуб.
Стрелками показаны фрагменты пломбировочного материала (вид спереди и сбоку), который при пломбировании канала выпал за пределы зуба и «упёрся» в область залегания ветви тройничного нерва. У пациента долго болел зуб после лечения пульпита, затем онемела верхняя губа и часть щеки.
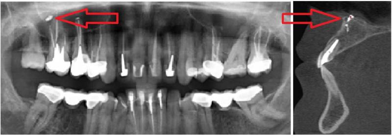
Вариант 2. Киста корня зуба раздражает ветвь тройничного нерва. Боль и онемение губы и щеки, боль при накусывании.
Стрелками показаны кисты корней зубов (вид спереди). Кисты в данном случае представляют собой замкнутые очаги инфекционного воспаления. Киста со временем набухает и создает давление на ветви тройничного нерва, отсюда онемение лица и боль. Осложнение после лечения пульпита.
Вариант 3. Онемение после удаления зуба. При повреждении тройничного нерва и его сплетений после удаления зуба может онеметь щека, губа, часть десны. Чем более извиты и деформированы корни зуба – тем выше риск повредить тройничный нерв при его удалении.
Как проверить состояние тройничного нерва. Мы предлагаем в таких случаях три способа диагностики:
1.Электромиография лица. Это исследование параметров проведения нервных импульсов по системе тройничного и лицевого нервов. В случае повреждения нерва мы регистрируем снижение его способности к проведению нервных импульсов. Подробнее про электромиографию лица
2.Рентгеновские исследования. На обычных рентгенограммах и панорамных снимках не всегда видна истинная картина болезни. Мы рекомендуем конусно-лучевую компьютерную томографию с функцией защиты от дефектов изображения от пломбировочного материала и протезов.
3.Осмотр врачом. Врач невролог видит несколько иную картину, чем стоматолог. Нам легче оценить функции нервов и мышц лица и установить источник невропатической боли. Часто именно осмотр дает больше информации, чем электромиография и рентгеновские методы.
В данном случае понимание полной картины причин проблемы – это путь к выбору оптимального лечения. Обычно это курс неврологического лечения в сочетании с решением стоматологической проблемы. Нам доводится решать проблемы 10-15-летней давности.
Методы восстановления зуба
Отсутствие даже одного зуба может негативно сказаться не только на внешнем виде. Это также может привести к повреждению остальных единиц или их смещению, что еще больше усугубит проблему.
Если коренной зуб еще можно вылечить, то в этом поможет процедура пломбирования. Если произошел скол, его также можно восстановить, используя современные материалы и технологии. Если же он выпал, то вернуть назад его уже не получится. В таком случае рекомендуется протезирование, которое поможет восстановить внешний вид и функциональность зубного ряда. Стоматологи используются различные методы восстановления исходя из пожеланий и возможностей пациента.
Когда ожидать возвращения волос
Выпадение волос, вызванное химиотерапией, носит временный и обратимый характер. После завершения курса химиотерапии вы можете ожидать некоторого возобновления роста примерно через 4-6 недель, но это может быть не полным до 1 или 2 лет после терапии.
Лечение лейкемии и лимфомы включает повторные курсы химиотерапии. Вы можете увидеть нечеткие участки волос, возвращающиеся между циклами, но нередко вы теряете волосы несколько раз во время путешествия по раку крови.
Алопеция, вызванная лучевой терапией, может быть постоянной или временной. Люди, получившие более низкие дозы радиации на голову, могут начать замечать некоторое возобновление роста через 3-6 месяцев после завершения терапии. Если ваше лечение включает более высокие дозы радиации, ваше выпадение волос может быть необратимым.
Когда волосы возвращаются после лечения рака, они могут быть другого цвета, текстуры (тонкие или грубые) или типа (прямые или вьющиеся), чем были раньше.13 Иногда эти изменения являются постоянными, но могут не быть.
Что является причиной выпадения временной пломбы?
У пациента может вывалиться временная пломба из-за врачебной халатности:
- если доктор плохо просушил полость зуба после его предварительной обработки или туда попала слюна перед нанесением пломбировочного материала;
- если после очищения кариозной полости остались частички инфицированной ткани;
- если поверхность обработана недостаточно качественно, из-за чего эмаль будет разрушать материал;
- если пломба поставлена на депульпированный зуб — в этом случае она не может крепко держаться, т.к. поверхность единицы хрупкая, к ней не поступают питательные вещества;
- если для создания временной пломбы использовались низкокачественные или просроченные материалы;
- если зуб сильно поражён кариесом, и у пломбы нет необходимой опоры.
Но не только врач может быть виновником проблемы. Временная пломба выпадает, когда пациент не придерживается рекомендаций, полученных после стоматологических манипуляций. Например, решает перекусить сразу после того, как покинет кабинет врача. При том, что воздержаться от приёма пищи нужно в течение 1-2 часов. Кроме того, пломба может выпасть, если на неё приходится большая нагрузка (при разгрызании орехов и леденцов, открывании бутылок зубами, перекусывании ниток и пр.). Постепенное её расшатывание провоцируют жевательные резинки и конфеты-тянучки, ириски.
Профилактика выпадения временной пломбы
После выполненных манипуляций доктор всегда рассказывает пациенту, что можно и чего нельзя делать после того, как он покинет кабинет. И нужно этих рекомендаций придерживаться.
- Нельзя принимать пищу в течение 2 часов после пломбировки. В это время материал затвердевает.
- Весь период, пока стоит временная пломба, нельзя грызть орехи и другие твёрдые продукты, есть жевательные конфеты и другие вязкие сладости, использовать жвачку.
- Рекомендуется минимизировать нагрузку на проблемный зуб.
- Не стоит использовать ирригатор, зубочистки и зубную нить для очищения временной пломбы. Оптимальное средство гигиены — мягкая щётка.
Рекомендуется ежедневно осматривать пломбу, чтобы при появлении дефектов своевременно их обнаружить и обратиться к стоматологу.
Методы восстановления зуба
Отсутствие даже одного зуба может негативно сказаться не только на внешнем виде. Это также может привести к повреждению остальных единиц или их смещению, что еще больше усугубит проблему.
Если коренной зуб еще можно вылечить, то в этом поможет процедура пломбирования. Если произошел скол, его также можно восстановить, используя современные материалы и технологии. Если же он выпал, то вернуть назад его уже не получится. В таком случае рекомендуется протезирование, которое поможет восстановить внешний вид и функциональность зубного ряда. Стоматологи используются различные методы восстановления исходя из пожеланий и возможностей пациента.
Является ли потеря волос симптомом серьезной болезни?
Гнездная алопеция – нежизнеугрожающее заболевание. Данная болезнь не сопровождается болями и не является заразной. Общее состояние здоровья от данного заболевания не страдает, но при этом болезнь, конечно, влияет на эмоциональное состояние. Распространенная форма гнездной алопеции, при которой выпадают волосы ресниц, бровей и т.д. делает человека восприимчивым к раздражающим факторам внешней среды, например к пыли, бактериям, крупным инородным частицам. Гнездная алопеция часто возникает у людей, в чьей семье есть больные аутоиммунными болезнями, например сахарный диабет 1 типа, ревматоидный артрит, заболевания щитовидной железы, системная красная волчанка, злокачественная анемия, болезнь Аддисона и др. Больные гнездной алопецией, как правило, не болеют другими аутоиммунными болезнями, но имеют высокий риск заболеваний щитовидной железы, атопического дерматита, поллиноза и астмы. Визит к врачу в случае выпадения волос является необходимым с целью исключения схожих по симптомам заразным и более тяжело протекающим болезням, как например стригущий лишай, красная волчанка.
Доврачебная помощь
Первая помощь заключается в прикладывании к щеке льда, холодного компресса. Запрещено прикладывать лед к десне, чтобы не занести инфекцию. Мероприятие помогает снизить интенсивность боли, уменьшить отек. Для профилактики кровотечения в лунку на место выпавшего зуба необходимо положить стерильный ватный тампон.
Общие рекомендации:
Ограничить физическую активность.
Не травмировать зубное ложе языком, твердой пищей, чтобы не сдвинуть кровяной сгусток, который защищает от проникновения инфекции.
Воздержаться от приема пищи первые 2–3 часа.
Не полоскать интенсивно рот первые сутки.
Не курить.
Исключить горячие напитки в течение суток.
При интенсивной боли принять обезболивающее.
Необходимо сразу после того, как выпал зуб, обратиться к врачу.
Почему сильно лезут из-за операции?
Нередко интенсивное выпадение волос после наркоза связано с пережитыми эмоциональными переживаниями. Ведь практически все люди с тревогой относятся к предстоящему вмешательству, переживают, как оно пройдет, и не будет ли осложнений. Сильный стресс может вызвать частичный сбой активности волосяных фолликул, но при этом он не способен нарушить их жизнеспособность. В результате эмоционального перенапряжения волосяные стержни испытывают дефицит питательных веществ, становятся более слабыми и в конце концов выпадают. В такой ситуации выпадение волос не требует никакого направленного лечения, локоны приходят в норму сами по себе после стабилизации эмоционального равновесия и по прошествии определенного времени после операции. Иногда этот временной промежуток может растянуться на несколько месяцев и даже на год.
Кроме того, выпадение волос после наркоза может быть связано:
- Непосредственно с проведенным оперативным вмешательством. При длительной операции голова пациента постоянно находится в статичном положении, а значительная кровопотеря и сам наркоз при этом способствует снижению артериального давления. Волосяные фолликулы испытывают кислородный дефицит, к ним просто попадает очень мало крови, и они автоматически переходят в «спящий режим», что провоцирует возникновение алопеции.
- Применением медикаментов. Во время операции могут использоваться самые разные лекарственные препараты, важные для закрепления работы хирургов, профилактики осложнений и пр. Некоторые из них, в частности, антибиотики, противоопухолевые лекарства, гипотензивные средства, а также антикоагулянты и пр., могут негативно сказываться на работе волосяных луковиц и провоцировать выпадение волос.
Иногда за выпадение волос после наркоза пациенты принимают естественную потерю волосков, которая сочетается с замедлением их роста. Подобное явление считается совершенно нормальным, так как рост локонов после операции закономерно замедляется — организм тратит время на восстановление других функций.
Факторы риска
Вероятность столкнуться с выпадением волос после операции увеличивается в несколько раз при наличии у человека определенных состояний и привычек, которые и так не слишком благоприятно сказываются на общем состоянии здоровья. В частности, риск алопеции после наркоза высок у людей с:
- Ослабленным иммунитетом.
- Нарушенным гормональным балансом.
- Инфекционными заболеваниями.
- Неправильными привычками в питании.
- Хроническими недугами.
- Никотиновой либо алкогольной зависимостью.
При таких состояниях операция может сыграть роль своеобразного пускового фактора. Волосы могут начать сыпаться буквально клоками, что сильно нарушает внешний вид и эмоциональное равновесие.
Можно ли посещать стоматолога во время ГВ?
Часто женщины сталкиваются с проблемами зубов еще в период беременности, связано это с тем, что все ценные микроэлементы уходят на формирование и развитие плода, и в организме матери начинается дефицит кальция. Лактация продолжает усугублять ситуацию, но женщина боится идти к стоматологу, чтобы не навредить ребенку. На самом деле зубы лечить не только можно, но и нужно! Вот на это несколько причин.
Постоянные боли влияют на психоэмоциональное состояние человека. Мать становится нервной и раздражительной, что может напрямую сказаться на количестве молока, вплоть до его полного исчезновения.
Влияние химической терапии на волосяной покров
Выпадают ли волосы после химиотерапии? Одним из самых распространенных побочных эффектов при проведении химиотерапии является выпадение волос.

Этот факт зачастую пугает многих людей, а в особенности женщин. Некоторые из них даже не могут решиться на такое лечение из-за страха потерять волосы.
Но желание сохранить свою шевелюру не должно препятствовать жизненно важным процедурам. Да и кроме того, не всякая химиотерапия лишает человека волос.
Для начала стоит разобраться, почему именно появляется такой побочный эффект. Все дело в препаратах, используемых во время проведения химических процедур, так называемых цитостатиках.
Эти противоопухолевые препараты блокируют деление клеток, а в самую первую очередь обращают свое внимание на самых активных из них. К сожалению, клетки волосяных фолликул могут похвастаться очень большой скоростью деления, которая и становится причиной их скорой остановки. К сожалению, клетки волосяных фолликул могут похвастаться очень большой скоростью деления, которая и становится причиной их скорой остановки.
К сожалению, клетки волосяных фолликул могут похвастаться очень большой скоростью деления, которая и становится причиной их скорой остановки.
Такая алопеция может распространяться на все тело, включая брови и ресницы. В это время очень важным становится психологическое состояние пациента. Ведь к уже имеющейся серьезной болезни прибавляется еще и временное облысение, что может привести к появлению больших приступов стресса.
После какой химиотерапии выпадают волосы? Всегда ли выпадают волосы при химиотерапии? Не все цитостатические препараты способствуют потере волос. Небольшое количество из них может вызывать лишь частичное облысение, а то и не вызывать его вообще.
К примеру, при лечении рака молочной железы Циклофосфаном и Метотрексатом волосяные клетки фолликулов не затрагиваются вообще. Количество таких препаратов невелико, однако они есть.
В любом случае лучше заранее узнать у лечащего врача, вызовет ли конкретная процедура потерю волос или нет. Даже если ответ будет положительным, то пациент сможет заранее психологически подготовиться к этому.
Когда начинается выпадение волос после химиотерапии? Что до сроков начала выпадения волос, то он может варьироваться от типа препарата и организма человека. Обычно волосы истончаются уже после первого сеанса химиотерапии, а постепенная потеря волос начинается через 1 ‒ 2 недели после начала лечения.
Это интересно! Бывают и неординарные случаи, когда волосы выпадают все сразу. Такое облысение изредка наблюдается при использовании препарата Таксол (паклетаксеол).
Кроме этого существует метод, защищающий волосы от пагубного влияния цитостатиков. Такая процедура называется охлаждением волосяных фолликул (или же охлаждением скальпа).
Суть ее в том, что сразу после химиотерапии на голову пациента надевают специальный аппарат, который охлаждает скальп, тем самым снижая диаметр артериальных сосудов. Это приводит к замедлению кровотока и лимфотока, а значит препятствует доставке химических препаратов к волосяным фолликулам.
Естественно, эта процедура не полностью останавливает циркуляцию крови, так что и о полном предотвращении облысения речи быть не может.
Врач расскажет, почему выпадают волосы после химиотерапии:
Как понять, что пломба скоро выпадет?
После пломбировки материал занимает всю высверленную полость, между ним и тканями зуба нет зазоров. Когда появляются щели между пломбой и зубом, она шатается при надавливании языком, и нужно обратиться к врачу, чтобы не допустить выпадения материала.
Если это уже случилось, и пациент заметил дырку в проблемном зубе, нужно действовать осознанно. Нельзя заклеивать её жевательной резинкой, вставлять в полость вату и другие подручные материалы. Герметично закрыть дырку не получится, такие меры могут только навредить, ведь таким образом будут созданы благоприятные условия для размножения патогенных микроорганизмов и распространения инфекции.
Выпадение зубов у детей
Замена молочных зубов постоянными — физиологический процесс. Зачаток постоянного зуба отделен от корня молочного зуба костной пластиной. По мере роста и формирования зачаток постоянного зуба оказывает давление на перегородку, разрушая ее. Далее в процесс вовлекается пульпа — соединительная ткань зубной полости. Пульпа молочного зуба превращается в грануляционную ткань, и полностью разрушает твердую ткань зуба — дентин. Процесс заканчивается рассасыванием корней молочного зуба, его выпадением или безболезненным удалением. После выпадения молочного зуба, через 3–4 месяца прорезывается постоянный.
Справка! Период сменного прикуса начинается в возрасте 6–7 лет, и к 12–13 годам уже формируется постоянный прикус. Зубы мудрости появляются после 17 лет.
Если молочный зуб мешает прорезыванию постоянного, сильно разрушенный кариесом, травмирован его удаляют в кабинете стоматолога.
Другие причины выпадения зубов у детей:
ослабление пародонта,
травмы челюсти,
тяжелый кариес,
воспаление тканей пародонта.
Вредные привычки, как разгрызание костей, орехов чреваты переломом корня зуба.
Нюансы при стоматологическом лечении после родов – можно или нет
Отвечая на вопрос – можно ли лечить зубы после родов, стоит сказать, что в это период снимаются все запреты на анестезирующие уколы (которые не рекомендовалось ставить во время 3-го триместра беременности). Однако если ребенок находится на грудном вскармливании, нужно будет заранее сцедить молоко для кормления или на одни сутки перевести малыша на искусственную смесь. Также в течение 24 часов после инъекции обезболивающего нужно будет сцеживать и выливать молоко – а потом можно кормить ребенка как прежде.
Если после лечения стоматолог назначил антибиотики – например, после удаления зуба, лечения периодонтита или пародонтита, то следует также помнить о том, что многие препараты проникают в грудное молоко. В этом случае тоже потребуется заранее сцеживать и замораживать молоко или перевести малыша на смесь. А чтобы лактация поддерживалась на должном уровне в течение 5-10 дней (пока мама пьет антибиотики), нужно 6-7 раз в сутки сцеживать молоко, но давать ребенку его нельзя.
На заметку! Ставить импланты после родов не рекомендуется в течение 6-8 месяцев, и еще на полгода имплантацию следует отложить после завершения лактации. Поскольку костная ткань еще достаточно мягкая (после беременности), и импланты могут некачественно прижиться. Установка традиционных протезов – коронок или мостов обговаривается индивидуально, т.к. все зависит от исходного состояния десен и сохранившихся зубов, которые могут нуждаться в лечении.
Почему выпадают волосы от стресса?
Стресс является одной из основных причин выпадения волос. Продолжительные переживания могут нарушить процессы обмена в организме и привести к алопеции – полному или частичному выпадению волос. Выпадение волос из-за стресса происходит постепенно. Волосы сначала замедляют свой рост, теряют блеск и упругость, становятся безжизненными и тусклыми. Если ничего не предпринимается, то через несколько месяцев происходит выпадение волос. Некоторые люди не связывают алопецию с нервными переживаниями, так как патологическое состояние может развиться спустя 6-8 месяцев после стресса. Состояние волос зависит от продолжительности стресса. Если человек сильно переживал и волновался, это обязательно отразится на состоянии волос, которым потребуется время для восстановления. Наибольшую опасность представляют продолжительный стресс, депрессивный синдром, невроз и другие патологические состояния, так как они нарушают гормональный баланс в организме. Механизм повреждения волос при стрессе заключается в том, что под воздействием отрицательных эмоций волосы “приподнимаются”, а гормон адреналин, выделяющийся при стрессе, вызывает напряжение мышц, удерживающих волоски в фолликуле. Это может привести к передавливанию фолликулов и повреждению корня волоса. Постоянный стресс оказывает негативное влияние на организм в целом, приводя к нарушению циркуляции крови и недостатку кислорода и питательных веществ. Волосы становятся тонкими, ломкими и начинают выпадать. Кроме того, на прогрессирование выпадения волос могут влиять наследственная предрасположенность, хронические заболевания, прием определенных лекарств, переохлаждение или перегрев, курение, употребление алкоголя, неправильное питание и плохая экология
Важно знать, что сильный стресс может привести к трихотилломании – неосознанному вырыванию волос на голове или других частях тела
Клинические исследования
В 2012 году ВМА С.М.Кирова было проведено открытое несравнительное исследование. Специалисты оценивали эффективность, безопасность и переносимость спрея ALERANA (2% и 5% раствор миноксидила).
Экспертами было доказано, что после 6 недель применения средства:
- в 87% случаев прекращалось повышенное выпадение волос;
- в 66% случаев наблюдалось увеличение количества волос в фазе анагена (фаза роста волос).
После 4 месяцев лечения:
- в 73% случаев наблюдалось клиническое выздоровление, а также значительное улучшение состояния волос. Данные факты свидетельствуют о высокой эффективности препарата ALERANA в лечении андрогенетической алопеции, повышенного выпадения волос и облысения.
- в 96% случаев наблюдалось уменьшение количества волос в фазе телогена (фаза покоя, предшествующая выпадению волоса) в 2,7 раза.
- Число волосяных фолликулов в фазе роста увеличилось на 20%, что говорит об увеличении продолжительности фазы активного роста волос.
- Толщина волос увеличилась в среднем на 41%
- Густота волос (количество волос на единицу площади) увеличилась в среднем на 29%.
При проведении теста натяжения было зафиксировано уменьшение количества эпилированных волос до 80%. Эти данные свидетельствуют о том, что спрей уже на начальных стадиях лечения укрепляет волосы за счет восстановления питания волосяных фолликул.
Начните лечение пародонтоза с… зеркала и ощущений
Все без исключения пациенты разбираются у себя во рту, все изучают, рассматривают себя в зеркале. И если пациент видит, что у него идет оголение шейки зуба или, как они говорят, «десна опустилась» либо «десна поднялась», вот это первый сигнал, что нужно прийти к врачу.
Как правило, это передние зубы, зубы эстетической видимости, но также бывает проблема рецессии и у жевательных зубов.
Проблему с жевательными зубами можно ощутить по реакции на температурный раздражитель, когда мы холодное кушаем – возникает реакция:
Как раз подобные перепады в температуре, когда «сводит зубы» и они болят – все это тоже может оказаться симптомом, сигналом, первым звоночком развития рецессии десны.
Которая потом превращается в проблему несуществующего и «неизлечимого» пародонтоза.
Могут ли выпадать волосы после анестезии?
Пациенты, которым предстоит хирургическое лечение, часто беспокоятся о том, что после наркоза у них начнут выпадать волосы. Научных доказательств того, что операция или наркоз вызывают выпадение волос, нет. Однако после хирургического вмешательства волосы могут стать реже.
Наркоз, что переводится с греческого как “онемение”, используется для обезболивания пациента во время операции или косметологических процедур. Независимо от причины анестезии, наркоз является серьезным стрессом для организма.
Сразу после операции организм начинает восстанавливать естественные процессы роста ногтей и волос. Новые волосы не появляются на месте выпавших, поэтому кажется, что волосы стали реже. Обычно эта проблема решается сама по себе, когда организм полностью восстанавливается.
Выпадение волос после наркоза объясняется ходом самой операции:
Если во время операции было кровотечение, артериальное давление значительно снижается. Организм начинает сосредотачивать кровоснабжение на внутренние органы, поэтому кровь не достигает волосяных луковиц и рост волос временно прекращается.
Если операция длится много часов, расслабленная мускулатура не может поддерживать всё тело
Голова пациента давит на зону, на которой лежит, что приводит к онемению, прекращению циркуляции крови и недостатку питательных веществ для корней волос.
В период реабилитации пациент может принимать обезболивающие препараты, которые могут вызывать выпадение волос.
Операция вызывает страх и тревогу у большинства людей, что может негативно сказываться на состоянии волос и всего организма.
Важно отметить, что выпадение волос – это естественный процесс обновления шевелюры. В норме человек теряет от 50 до 100 волосков в день
Если после операции волосы выпадают большими прядями или образуются лысины, это может быть сигналом о необходимости обратиться к врачу.
Почему происходит выпадение волос после наркоза?
Когда говорят о наркозе, речь идет о медикаментозном сне. Человека погружают в состояние сна с помощью применения специальных медицинских препаратов, разработанных специально для данной цели. Для организма человека любое оперативное лечение – стресс. Позже он тратит множество усилий на восстановление.
Современные анестезиологи считают, что связи между получением препаратов для наркоза и выпадением волос нет. Нехватка витаминов, большие энергетические затраты, необходимые для реабилитации, недостаточное питание (после операции не до еды из-за боли) делают своё дело. В результате происходит потеря растительности.
Причины алопеции после анестезии:
- Оперативное вмешательство сопровождается значительной кровопотерей, снижается артериальное давление. Организм человека начинает функционировать в режиме снабжения кровью органов и систем, нуждающихся в поддержке больше всего. Поступление важных питательных элементов к корням временно приостанавливается, волосяные фолликулы ненадолго включают «спящий» режим.
- Пациент находился на операционном столе несколько часов подряд, расслабленная мускулатура не поддерживала все части тела. Мышцы шеи выключены, потому черепная коробка создавала компрессию на зону, на которой лежал пациент. В итоге произошло онемение головы и «блокировка» кровоснабжения, нехватка питательных веществ и прекращение их транспортировки к корням волос.
- Продолжительная боль в реабилитационном периоде связана с приемом специальных лекарств для снятия синдрома. Иногда побочным эффектом является выпадение волос, потому читайте внимательно аннотацию.
- Ощущения тревоги до проведения оперативного лечения и после его завершения играют роль. Нервное напряжение отрицательно отражается на красоте: после стресса развивается частичное облысение, регулярное нервное состояние приводит к потере волос. Полное восстановление объема шевелюры индивидуально: от 3 до 12 месяцев.
Анатомия волоса
Выпадение волос – это естественный процесс их обновления, который происходит регулярно. Продолжительность «жизни» одного волоска – 3-5 лет. За это время он проходит несколько стадий роста, а затем выпадает. Это редко происходит спонтанно: обычно выпадению предшествует расчесывание или другое внешнее воздействие (человек надевает шапку или кофту с узкой горловиной, активно двигается во время сна и т.д.).
Конечно, подсчитывать выпадающие волоски никто не будет. Но для определения нормы или патологии можно провести несложный тест. Нужно ухватить пальцами небольшую прядь и потянуть ее. Если в руках останется более 5 волосков, причем на концах будут видны корни, а вам при этом не будет больно, то дело плохо: следует обратиться к врачу.
Патологическое выпадение волос не всегда связано с общей анестезией. У человека, который не ложился на операционный стол, тоже может быть эта проблема. Ее причины различны, но в основе всегда лежит один механизм: ослабевает приток крови к коже головы, корень волоска не получает достаточного питания и больше не может удерживаться в фолликуле.






























